Thanks to all who subscribed! I promise I won’t spam you although it might feel like it. I have a big post scheduled to send tomorrow (it’s a rough draft of a chapter). That said, I want to make sure I’m using this to write what’s happening now, as it’s a Big Life Moment™.
Two weeks from tonight I’ll be sleeping in a hotel in suburban Chicago. Hopefully, by this time, I’ll know what time to show up at the hospital the next morning to undergo the removable of my right knee joint and placement of a new one made from metal and plastic.
Why yes, I am awfully young for a knee replacement. Thanks for noticing. The first orthopedist I saw in 2019 told me that, even though I had degenerative joint disease and the kind of late-stage osteoarthritis that merits full knee replacement, they don’t do that surgery on people under 50. I was 46 and a half.
I asked if I was supposed to sit on my ass for three and a half years. She didn’t answer, but here I am three years later, sitting on my ass.
Three other orthopedists refused to even discuss surgery with me unless I lost weight. One said that fat people don’t have enough skin to close the incisions. Another said that, if I got my BMI to his required 32 or lower, I might not even have knee pain.
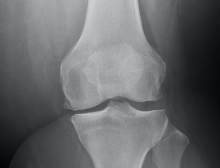
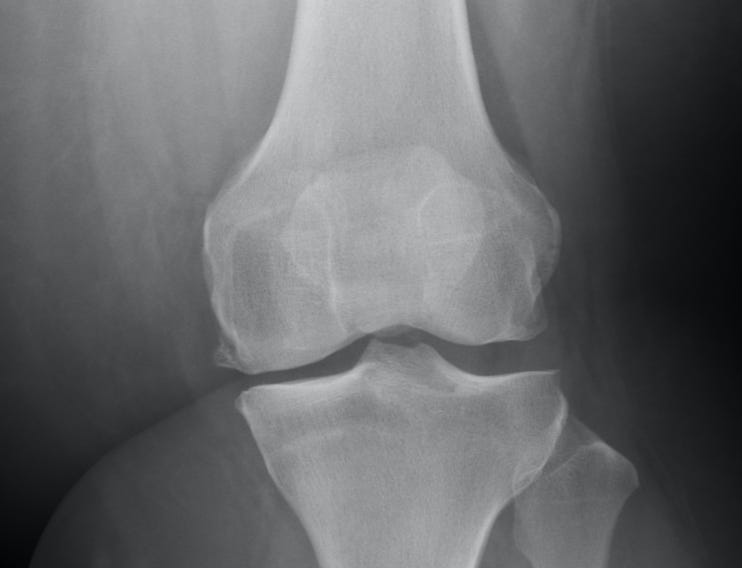
By this time both of my knees were bone-on-bone, what little cartilage I had left looking like shredded fabric in my x-rays. I could have gotten down to my birth weight and I’d still be in pain.
The last time my BMI—which we all know is bullshit—was 32, I was in seventh grade. I played tennis, volleyball, and softball. I mowed lawns for spending money, rode my bike all over town almost daily, and spent weekends looping around my hometown’s skating rink. I was also on my first round of disordered eating prescribed by a weight loss industry giant. My chances of returning to that size now? On par with returning to my birth weight.
My osteoarthritis wasn’t caused by the normal thing—age. It might have been worsened by my size, but the fact that all these doctors ignored was that my knees were injured in a very stupid accident I had in 2017, one that was an artifact of the rushed, always moving shark life I’ve led through my entire adulthood. Because god forbid people think I’m both fat AND lazy.
I’ll tell you about the injury tomorrow that caused all this shit. I’m hoping to turn my “disability journey” (ugh) into my next manuscript. Since September 2017 I’ve daily been reminded that I will never feel as good as I did the day before my accident, that I will only feel worse, be able to do less, and it would happen fast. So unbelievably fast. It was a lesson I didn’t learn on a cognitive level but on a primordial one, which led to learning to live my life in both slow motion and at a breakneck speed that made my previous life seem slow.
I had to leave my cooking career because of my injuries and the lack of care I was given by the medical professional entrusted with my care. I lost my mobility. While I do travel and post photos and stories on social media, what I don’t post about is what it’s like to rely on airport skycaps and their wheelchairs. What it’s like when they have abandoned me at a gate. Or in a busy walkway. Or at 1 a.m. while my ride circled outside. Or how people don’t make eye contact when you’re in a wheelchair.
One time, I had been pushed down the jetway into the gate at LAX, then left alone, parked in my chair in front of the line that was waiting to board the plane I’d just left. I tried to busy myself with my phone because otherwise, I’d have to notice people pretending to not notice me. A young girl at the front of the line caught my eye, smiled, and told me she liked my phone case. My ragged, beaten, formerly sparkly phone case that looks the way I feel. But I felt seen.
I can tell you the date of the last time I walked through Target, the last time I rushed through a grocery store, and the last time I walked a block or more in New York City. I can document the last time I dug through the bins at a record store, or through the stacks at a bookstore. The last day before my cane arrived. I wish I remember the last day I wasn’t in pain, a day where for whatever reason, the inflammation broke and I could breathe.
These days I don’t leave my house much. I took for granted so much. Being able to park several blocks from my destination. Standing in a line with the rush of anticipation. Or even the stifling veneer of monotony. At least I was out, living my life.
I remember the last time I cooked. It was right after the first cortisone treatment in June 2020. I had a few weeks of relief which I used for that last grocery store trip, a BLM action, and to make homemade mac and cheese for dinner one night. And then it was gone. The way I earned my living, felt my worth, was gone less than 18 months after the last pop-up dining event I did.

The day in September 2020 when I was told to get my BMI to what it was when I was 13, I got in touch with Marilyn Wann. In the ‘90s Wann started a zine called “Fat? So!”, a feminist call-to-arms against the rampant fatphobia that goes far beyond what’s considered attractive and too often leads to fat people being denied medical care. Through her vast network of friends, activists, and fans like me, Wann got the names of several orthopedists around the U.S. who are willing to do joint replacement on fat patients. I held that information for over a year, going through another orthopedist in St. Louis who refused to operate on me, and treatments at a pain clinic until my insurance decided to not cover them.
If insurance wasn’t going to cover a $12,000 pain treatment, what chance did I have of them covering knee replacement?
My shrink wrote a letter to my insurance company in an attempt to get them to cover my pain treatment. She covered the negative impact pain has had on my life, how it turned me from someone who had done the work to manage a lifetime to depression and panic attacks right back into that suicidal wreck who could barely function. Joint replacement wasn’t an “elective” surgery for me. It is required to save my life.
I never heard back from my insurance appeal.
And so I dug up the information from Marilyn Wann that I’d stashed a year earlier, and I made an appointment with a doctor in Chicago. I waited six weeks for an appointment where I was immediately given x-rays—something only one ortho had bothered to do for me—and told, “Yep. You need a full knee replacement. Because of your weight, your risk for infection is one to one and a half times higher than average. Cool? Cool. Let’s get you on the schedule.”
Okay, it was a bit more involved in that, but my point is, he looked at my x-rays, saw what I needed, and provided. I didn’t have to prove I was in pain. I didn’t have to fight for myself. After years of fighting to be heard, I can now rest.
As long as Covid doesn’t cancel my surgery, which is a very real possibility right now. But if it doesn’t, I’ll be getting my right knee replaced on January 24th. I can have my left one done around six weeks later. Most patients wait three months between replacements. When I asked if I could stand through a set and act a fool dancing Solid Sound Festival on Memorial Day weekend, Dr. Levine said, “I see no reason why you won’t be.”
The last time I truly danced at a concert was Jeff Tweedy’s closing set at Solid Sound, 2019. The sky spit rain during “Let’s Go Rain,” but the sky cleared before the end of the song with a rainbow breaking through. To which, at the end of the song, Tweedy replied, “Stupid rainbow.”
I’m ready for my stupid rainbow. The moment when these years of pain are parted and the artifact of my carelessness is cut clean away, no longer a part of me.
This is what to expect from Bending the Bone Saw: rambles as I navigate the next few months with rough draft chapters about how I got here.